Cryptococcus neoformans
Translingual

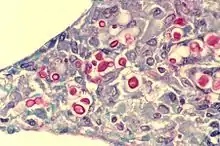
Cryptococcus neoformans (red after staining) in human lung
Proper noun
- A taxonomic species within the family Tremellaceae – a fungus species that causes cryptococcosis, often fatal in humans.
Coordinate terms
- (species causing cryptococcosis): Cryptococcus gattii
- Filobasidiella neoformans (sexual form (teleomorph))
References
Cryptococcus neoformans on Wikipedia.Wikipedia
Cryptococcus (Tremellaceae) on Wikispecies.Wikispecies
Cryptococcus neoformans on Wikimedia Commons.Wikimedia Commons - Cryptococcus neoformans at MycoBank
- Cryptococcus neoformans at Integrated Taxonomic Information System.
- Cryptococcus neoformans at Encyclopedia of Life
- Cryptococcus neoformans at National Center for Biotechnology Information
This article is issued from Wiktionary. The text is licensed under Creative Commons - Attribution - Sharealike. Additional terms may apply for the media files.