Retrocuspid papilla (RCP) is a small elevated nodules mostly behind the lower canine teeth in humans(Fig.1,2).[1] It is sometimes associated with reactive arthritis.[2]

Epidemiology

The RCP are first reported in 1947 and 1965.[3][4] In a Swedish population it was first reported 1994. Among 1150 consecutively examined patients aged 20 –75 years, 10 showed RCP. Among 2000 biopsy cases from 1989 - 1992 in Department of Oral Pathology Lund University, 15 biopsies met the criteria of RCP. [5]

Clinical appearance

The lesions are bilaterally situated in the attached gingiva or close to the border of the mucosa lingual to the two mandibular canines (Fig.1).[6]

Fig.1.Retrucuspid papillae lingual to both lower canines.

However, they could in a few individuals also be seen simultaneously in the molar region and on the lingual side (Fig.2).[7] They were 2–3 mm wide and high and covered with normal mucosa. Their tips were erected or could be folded down, mimicking the entrance of a periodontal abscess, but no duct was present.

Fig.2. Retrocuspid papilla in molar region labial gingiva mimicking a periodontal abscess

Radiographs showed no bone destruction and the depths of the periodontal pockets could not explain the presence of the lesions. They were nonsymptomatic and were not noticed by the patients.[8]

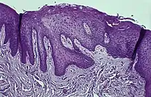
Histology

Fig.3. Hematoxylin Eosin staining of the attached gingiva with a Retrocuspid papilla.

Immunohistochemical staining with FXIIIa [9] antibody disclosed a population of reactive spindle- or stellate-shaped cells[10] in 11 of 15 cases, located in connective tissue papillae and in a few cases also distributed throughout the lesion. The FXIIIa-stained cells appeared together with the frequently observed stellate, "young" occasionally multinucleated fibroblastic cells observed in more than 50% of patients aged 10–69 years. It is likely that FXIIIA-expressing "mucosal dendrocytes" are pathologically involved in some way.[11][12][13]

References

  1. Rajendran A; Sundaram S (10 February 2014). Shafer's Textbook of Oral Pathology (7th ed.). Elsevier Health Sciences APAC. p. 27. ISBN 978-81-312-3800-4.
  2. Ghom AG; Ghom SA (30 September 2014). Textbook of Oral Medicine. JP Medical Ltd. p. 25. ISBN 978-93-5152-303-1.
  3. Hirschfeld I: The retrocuspid papilla. Am J Orthod 1947;33:447-57.
  4. Everett FG, Hall WB, Bennet JS: Retrocuspid papillae. Periodontics 1965;3:81-3.
  5. Hedin CA, Gerner L, Larsson Å: The retrocuspid papilla and factor XIIIa: an epidemiologic and histomorphologic study. Scand J Dent 1994; 102:290-4.
  6. Hedin CA, Gerner L, Larsson Å: The retrocuspid papilla and factor XIIIa: an epidemiologic and histomorphologic study. Scand J Dent 1994; 102:290-4.
  7. Hedin CA, Gerner L, Larsson Å: The retrocuspid papilla and factor XIIIa: an epidemiologic and histomorphologic study. Scand J Dent 1994; 102:290-4.
  8. Hedin CA, Gerner L, Larsson Å: The retrocuspid papilla and factor XIIIa: an epidemiologic and histomorphologic study. Scand J Dent 1994; 102:290-4.
  9. Nemeth AJ, Penneys NS: Factor XIIIa is expressed by fibroblasts in fibrovascular tumors. J Cutan Pathol 1989;16:266-71.
  10. Regezi JA, Courtney RM, Kerr DA: Fibous lesions of the skin and mucous membranes which contain stellkate and multinucleated cells. Oral Surg Oral Med Oral Pathol 1975;39:605-14.
  11. Hedin CA, Gerner L, Larsson Å: The retrocuspid papilla and factor XIIIa: an epidemiologic and histomorphologic study. Scand J Dent 1994; 102:290-4.
  12. Nickoloff BJ, Griffiths CEM: The spindle-shaped cells in cutaneous Kaposi´s sarcoma. Am J Pathol 1989;135:793-800
  13. Cerio R, Spaull J, Oliver GF, Wilson Jones E: A study of factor XIIIa and MAC 387 immunolabeling in normal and pathological skin. Am J Dermatopathol 1990;12:221-33.

See also

This article is issued from Wikipedia. The text is licensed under Creative Commons - Attribution - Sharealike. Additional terms may apply for the media files.