Metamyelocyte
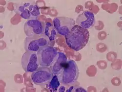
Four metamyelocytes, center of photo
Details
PrecursorMyelocyte
Gives rise toBand cell
FunctionA cell undergoing granulopoiesis, leading to a band cell.
Identifiers
THH2.00.04.3.04008
FMA83541
Anatomical terms of microanatomy
Basophilic
Eosonophilic
Neutrophilic

A metamyelocyte is a cell undergoing granulopoiesis, derived from a myelocyte, and leading to a band cell.

It is characterized by the appearance of a bent nucleus, cytoplasmic granules, and the absence of visible nucleoli. (If the nucleus is not yet bent, then it is likely a myelocyte.)

Additional images

See also


This article is issued from Wikipedia. The text is licensed under Creative Commons - Attribution - Sharealike. Additional terms may apply for the media files.