Developmental venous anomaly
Other namesVenous angioma
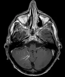
Developmental venous anomaly in the cerebellum seen on axial contrast-enhanced T1 weighted MRI

A developmental venous anomaly (DVA, formerly known as venous angioma) is a congenital variant of the cerebral venous drainage. On imaging it is seen as a number of small deep parenchymal veins converging toward a larger collecting vein.

Characteristics

DVA can be characterized by the caput medusae sign of veins, which drains into a larger vein. The drains will either drain into a dural venous sinus or into a deep ependymal vein. It appears to look like a palm tree.[1]

Location

Most common locations for the DVA:[1]

Location Percent of DVA Notes
Frontoparietal morphoea 36–64% Drains towards the frontal horn of the lateral ventricles.
Cerebellar hemisphere 14–27% Drains into the fourth ventricle.

Diagnosis

DVA can be diagnosed through the cerebral venous sinus thrombosis with collateral drainage. DVA can also be found diagnosed with Sturge–Weber syndrome and can be found through leptomeningeal angiomatosis. Demyelinating disease has also been found to enlarge medulla veins.[2]

References

  1. 1 2 D'Souza, Donna. "Developmental venous anomaly | Radiology Reference Article | Radiopaedia.org". radiopaedia.org. Retrieved 2017-03-07.
  2. Santucci, G. M.; Leach, J. L.; Ying, J.; Leach, S. D.; Tomsick, T. A. (2008-08-01). "Brain Parenchymal Signal Abnormalities Associated with Developmental Venous Anomalies: Detailed MR Imaging Assessment". American Journal of Neuroradiology. 29 (7): 1317–1323. doi:10.3174/ajnr.A1090. ISSN 0195-6108. PMC 8119141. PMID 18417603.
This article is issued from Wikipedia. The text is licensed under Creative Commons - Attribution - Sharealike. Additional terms may apply for the media files.