schistocyte
English

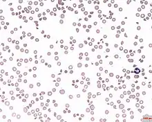
Peripheral blood smear showing numerous schistocytes in a patient with thrombotic thrombocytopenic purpura
Etymology
From Ancient Greek σχίζω (skhízō, “I split”) + κύτος (kútos, “vessel, jar”).
Noun
schistocyte (plural schistocytes)
- A jagged red blood cell fragment without central pallor, consequent to passage through small vessels with microthrombi, leaky prosthetic heart valves etc.
Synonyms
- schizocyte
- helmet cell
Derived terms
Anagrams
This article is issued from Wiktionary. The text is licensed under Creative Commons - Attribution - Sharealike. Additional terms may apply for the media files.