alphavirus
See also: Alphavirus
English

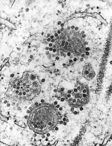
A transmission electron micrograph showing virions of the alphavirus eastern equine encephalitis in central nervous system tissue
Etymology
From the genus name, translingual Alphavirus.
Translations
any virus of the genus Alphavirus
|
Further reading
Alphavirus on Wikipedia.Wikipedia
Alphavirus on Wikispecies.Wikispecies
This article is issued from Wiktionary. The text is licensed under Creative Commons - Attribution - Sharealike. Additional terms may apply for the media files.