Exostosis
Other namesBone spur
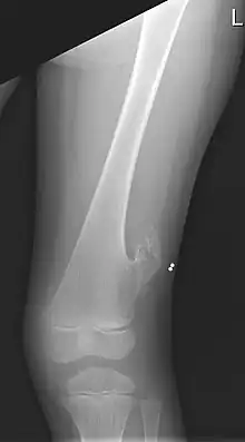
X-ray of the left femur of a 5-year-old boy with an exostosis at the lateral side, just above the knee.
SpecialtyRheumatology Edit this on Wikidata

An exostosis, also known as a bone spur, is the formation of new bone on the surface of a bone.[1] Exostoses can cause chronic pain ranging from mild to debilitatingly severe, depending on the shape, size, and location of the lesion. It is most commonly found in places like the ribs, where small bone growths form, but sometimes larger growths can grow on places like the ankles, knees, shoulders, elbows and hips. Very rarely are they on the skull.

Exostoses are sometimes shaped like spurs, such as calcaneal spurs.

Osteomyelitis, a bone infection, may leave the adjacent bone with exostosis formation. Charcot foot, the neuropathic breakdown of the feet seen primarily in diabetics, can also leave bone spurs that may then become symptomatic.

They normally form on the bones of joints, and can grow upwards. For example, if an extra bone formed on the ankle, it might grow up to the shin.

When used in the phrases "cartilaginous exostosis" or "osteocartilaginous exostosis", the term is considered synonymous with osteochondroma. Some sources consider the two terms to mean the same thing even without qualifiers, but this interpretation is not universal.

Osteophytes

Osteophytes are bone spurs that develop on the margins of joints secondary to external stimuli such as osteoarthritis.[2] However, these are not always distinguished from exostoses in any definite way.[3]

Fossil record

Evidence for exostosis found in the fossil record is studied by paleopathologists, specialists in ancient disease and injury. Exostosis has been reported in dinosaur fossils from several species, including Acrocanthosaurus atokensis, Albertosaurus sarcophagus, Allosaurus fragilis, Gorgosaurus libratus, and Poekilopleuron bucklandii.[4]

Hereditary multiple exostoses

Hereditary multiple exostoses (HME), also called hereditary multiple osteochondromas (HMO), is a condition that is estimated to affect 1 in 50,000 individuals. Multiple benign or noncancerous bone tumors develop in the affected individuals. The number and location vary among affected patients. Most people seem unaffected at birth; however, by the age of 12 years, they develop multiple exostoses. Affected individuals commonly complain of palpable and recognizable lumps (exostoses) at about the knees and in the forearms. The condition characteristically occurs bilaterally. It may lead to mild degrees of growth retardation and limb asymmetry. Genu valgum (commonly known as "knock-knees"), ankle valgus, and bowing and shortening of one or both of the forearm bones are common manifestations.[5]

Types

See also

References

  1. "Exostosis""at Dorland's Medical Dictionary
  2. Dyson SJ (2010). "Radiography and Radiology". In Dyson SJ, Ross MW (eds.). Diagnosis and Management of Lameness in the Horse - E-Book. Elsevier Health Sciences. p. 171. ISBN 9781437711769.
  3. "On Healthy and Diseased Bone, According to the Investigations of Frerichs, Marchand, Nasse, Ragsky, and Simon". The Medico-Chirurgical Review. 40 (79): 87–98. January 1844. PMC 5100073. PMID 29918999.
  4. Molnar RE (2001). "Theropod paleopathology: a literature survey". In Tanke DH, Carpenter K (eds.). Mesozoic Vertebrate Life. Indiana University Press. pp. 337–363.
  5. El-Sobky TA, Samir S, Atiyya AN, Mahmoud S, Aly AS, Soliman R (21 March 2018). "Current paediatric orthopaedic practice in hereditary multiple osteochondromas of the forearm: a systematic review". SICOT-J. 4: 10. doi:10.1051/sicotj/2018002. PMC 5863686. PMID 29565244.
This article is issued from Wikipedia. The text is licensed under Creative Commons - Attribution - Sharealike. Additional terms may apply for the media files.